Ушаков Григорий Михайлович
Ведущий гнатолог-ортопед
-
95% пациентов вылечено без хирургии
-
5000+ довольных пациентов
-
Врач высшей категории, ведущий эксперт
Направления деятельности:
Результаты клиентов
-

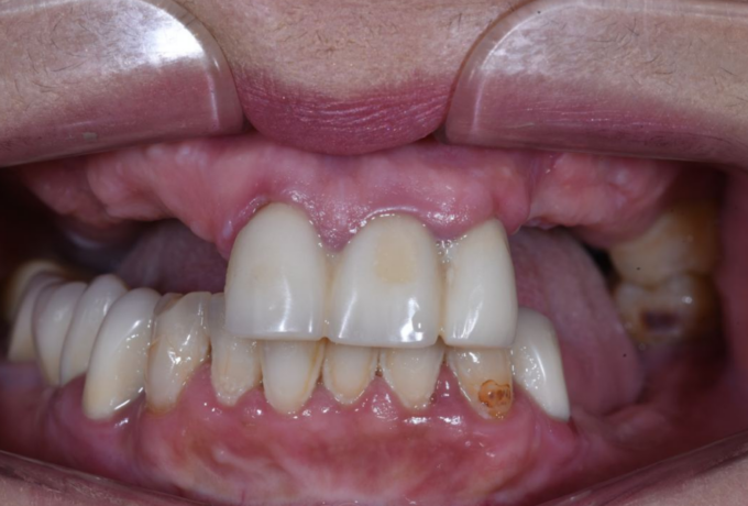
Проблема:
Сильное разрушение зубов в боковых отделах, боль при жевании.Результат:
Восстановлена жевательная функция, пациент ест всё без боли. Отметил, что «ожидал хуже, а получилось идеально». -

Проблема:
Сильное разрушение зубов в боковых отделах, боль при жевании.Результат:
Восстановлена жевательная функция, пациент ест всё без боли. Отметил, что «ожидал хуже, а получилось идеально».
10 лет опыта
Информация о враче
Ведущий гнатолог-ортопед
Гнатолог, более 10 лет опыта работы в лучших московских клиниках, в том числе на позиции главного врача и эксперта исследовательского центра. Работа с лицевой дугой и артикулятором, полный цикл загипсовки и настройка параметров.
Цифровой протокол — работа с интраоральным сканером с уровня зубов и с уровня имплантов, лечение и наблюдение пациентов с дВНЧС, проектировка и изготовление сплинтов, последующее протезирование, чтение и интерпретация данных КЛКТ, МРТ, полный протокол Prosystom. Комплексный подход к лечению и реабилитации!
Сертификаты врача