Алимкулов Аблайхан Муратович
Хирург-имплантолог
-
Опыт работы более 10 лет
-
5000+ установленных имплантов
-
Приживаемость имплантов 99,8 %
-
Врач высшей категории
Направления деятельности:
Результаты клиентов
-

Проблема:
ТекстРезультат:
Текст -

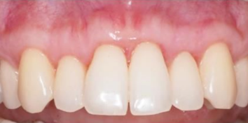
Проблема:
До леченияРезультат:
После лечения
11 лет опыта
Информация о враче
Хирург-имплантолог
Высшее медицинское образование, Кыргызская государственная медицинская академия, г. Бишкек
Интернатура, КГМИиПК, факультет усовершенствования врачей
Алимкулов Аблайхан Муратович врач с большим опытом в челюстно лицевой хирургии, что позволяет проводить самые сложные хирургические манипуляции.
Сертификаты врача